Врачи: повышенная потливость проявляется при диабете и лейкемии
Здоровье
Здоровье
Медики перечислили двенадцать проблем со здоровьем, на которые указывает повышенная степень потливости. Потоотделение - нормальное явление.
29-летний мужчина игнорировал острый симптом рака легких
Здоровье
Здоровье
Мужчина по имени Стивен рассказал в социальных сетях о том, как у него выявили рак легких четвертой стадии, когда ему было 29 лет. Все это время он игнорировал симптомы заболевания.
- Врач Джозеф: избежать увеличения веса в праздники помогут 10 тысяч шагов
- Fantastico: врачи оценили пользу рациона старейшего человека в мире
- Ученые: риск инсульта сокращается при быстрой ходьбе 4 минуты в день
- Стоматолог Уолш: темный шоколад повышает умственную и физическую активность
- Врач уль-Хак Сон призвал не закапывать нос на ночь во время простуды
- Диетолок Мисникова: брокколи защищают от деменции и рака
- Психиатр Шуров: короткие видео ведут к деградации мозга
- Терапевт Кондрахин: ветрянка приводит к пневмонии и менингиту
- Врач Хаустова: зимой не получается похудеть из-за снижения активности
- OSU: несколько минут уединения в день снижают стресс в праздники
МФТИ: белок в слюне пиявки разжижает кровь и препятствует тромбообразованию
Здоровье
Здоровье
Российские ученые, подробно изучив состав слюны медицинской пиявки, выявили пользу от неё для здоровья человека. В ней присутствует ранее неизвестный белок, способный разжижать кровь.
Диетолог Соломатина: ананас снижает давление в пожилом возрасте
Здоровье
Здоровье
Доктор Елена Соломатина рассказала россиянам, как пожилым людям укрепить иммунную систему и наладить работу кишечника при помощи питания, пишет «Москва 24». Для этого стоит включить в меню ананас.
Шотландка Мелисса Каррэн похудела на 57 кг после фотосессии
Здоровье
Здоровье
Жительница Шотландии по имени Мелисса Каррэн решилась на операцию, чтобы избавиться от лишнего веса, когда увидела фотографии с помолвки, пишет Daily Mail.
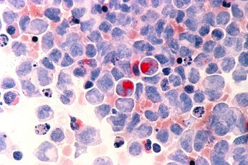
BP: лечение от рака груди у британки привело к развитию рака крови
Здоровье
Здоровье
Британка Суна Кылыч, лечившаяся от рака молочных желез, узнала, что у неё развился рак крови, пишет издание Bristol Post. Две смертельные болезни были диагностированы почти одновременно.
- MEN: британка с эндометриозом осталась бесплодной из-за ошибки врачей
- Врач Малышева: в борьбе с морщинами помогут инфракрасные лампы
- Малышева: на нехватку тромбоцитов указывают синяки на теле
- Офтальмолог Коновалов: селен в пельменях укрепляет иммунитет
- Врач Малышева: от рака спасут колоноскопия, маммография и УЗИ
- Врачи Лебедева: уколы ботокса могут вызвать головокружение
- Нефролог Ахуньянова: бесполезно просто считать калории для похудения
- Невролог Шаповалова: тревожность чаще встречается у молодых женщин
- Belfast Live: ирландка с нервным тиком не может управлять ногой
- Диетолог Поляков: масло МСТ делает тренировки более энергичными