Врач Авдеев: риск пневмонии у курильщика в 4 раза выше

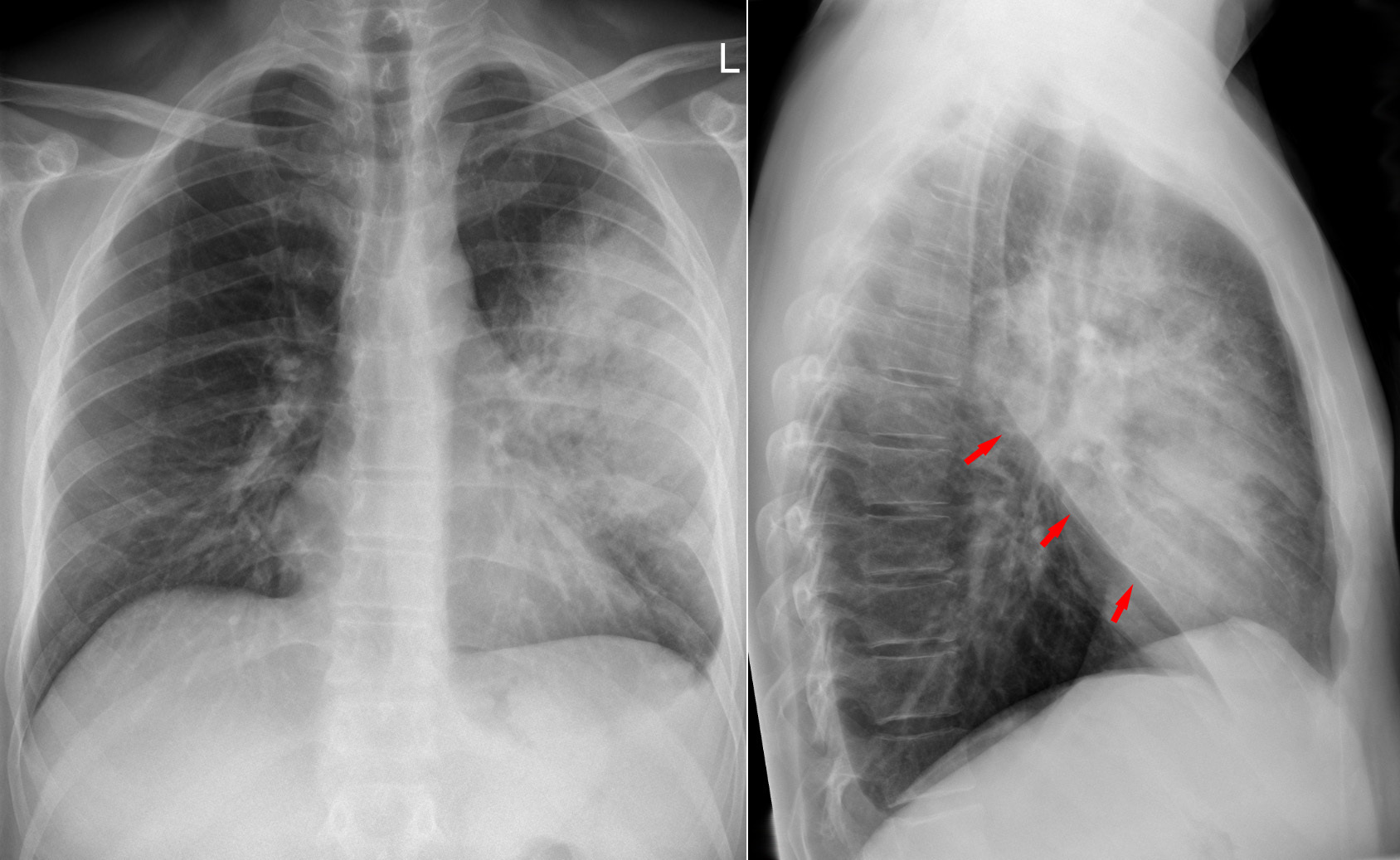
Доктор Сергей Авдеев раскрыл основной фактор риска развития пневмонии, пишет «РИА Новости». У курильщиков вероятность развития заболевания в 4 раза выше.
Эксперт Сеченовского университета обратил внимание, что курение также приводит к хроническим респираторным заболеваниям.
Также пульмонолог отметил, что курильщики должны находиться под наблюдением врача и регулярно сдавать анализы. В России диспансеризацию проходит 70% граждан, имеющих вредную привычку.
Фото: commons.wikimedia.org, Hellerhoff, Creative Commons Attribution-Share Alike 3.0 Unported license.
В ЭТОМ РАЗДЕЛЕ
- Врач-невролог назвала самые опасные продукты для гипертоников.
- Чеснок: почему он необходим человеку?
- Диетолог Кабанов рассказал о правилах в Новый год для здоровья пищеварения
- Врач Сейц рассказал, что зеленый чай укрепляет здоровье мозга
- Гастроэнтеролог Екатерина Мельникова рассказала о способах борьбы с бессоницей
- Диетолог Марина Сорокина: 2 литра воды в день это миф
- Кардиолог Павличенко рассказала о здоровых заменах сахара
- Врач-офтальмолог Меркулова поделилась продуктами для здоровья глаз
Не забудьте подписаться на наш Дзен-канал!
Также наши новости в оперативном режиме в телеграм-канале.