Уролог Фирсова: избежать мочекаменной болезни можно, если правильно питаться
Здоровье
Здоровье
Доктор Дарья Фирсова проинформировала о причинах образования камней в почках и о методах профилактики. Мочекаменная болезнь является заболеванием, которое связано с нарушением обмена веществ.
Эксперт Еремин: раннее старение сопровождается потерей мышечной массы
Здоровье
Здоровье
Доктор Илья Еремин перечислил основные признаки чрезмерно быстрого биологического старения. В этот момент в организме человека происходит нарушение биохимических процессов.
- Врач Иванов: бассейн на даче может быть рассадником инфекций
- Вирусолог Вострухов: прививка лучше всего защищает от ротавируса
- Диетолог Ростова: гранат, рыба и водоросли могут вылечить анемию
- Педиатр Портняга: астма – серьезное проявление аллергии у детей
- Названы симптомы, после которых диагностируется рак толстой кишки через полгода
- Врач Малышева: свекла улучшает потенцию у мужчин
- Психолог Мелехин: просмотр сериалов помогает получить эмоции
- Педиатр Зайниддинова: потница у ребенка может появиться из-за перегрева
- Стоматолог Лосев: цвет и форма языка могут указать на заболевание
- Врачи Малышева и Продеус: по состоянию ногтей можно определить псориаз
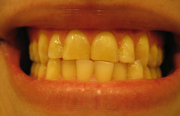
Стоматолог Лосев: вейпы могут вызывать гингивит и уничтожить эмаль
Здоровье
Здоровье
Доктор Владимир Лосев призвал россиян как можно быстрее избавиться от привычки курить вейпы. Данные устройства негативно влияют не только на внутренние органы, но и на состояние зубов.
Ученые из США: инсульт чаще встречается у одиноких людей в возрасте
Здоровье
Здоровье
Специалисты Гарвардской школы общественного здравоохранения имени Т. Ч. Чана в ходе недавнего исследования пришли к выводу, что физическое здоровье пожилых людей напрямую зависит от психологического.
Британка с заражением плотоядными бактериями приняла болезнь за обычный порез
Здоровье
Здоровье
Британка Луиза Фосетт оказалась в больнице из-за простого пореза: она поцарапалась, пока занималась садоводством в своих клубах. Через какое-то время женщина заметила, что нога начала опухать.
Опрос: 31% россиян борется со стрессом с помощью вкусной еды
Здоровье
Здоровье
В ходе недавнего социального опроса выяснилось, что многие россияне справляются со стрессом посредством прогулок. На долю этих людей приходится 44 процента опрошенных.
- Врач Малышева: после маникюра может появиться подногтевая меланома
- Врач Малиновская: взаимосвязи между раком и чаем в пакетиках нет
- Врач Сотникова: ополаскиватель для рта вызывает аллергию и проблемы с желудком
- Врач Мясников: статины минимизируют риск рака почек, печени, легких
- Врач Рейли: отказ от алкоголя и сосисок сделает кожу чище
- Составлен список плохих привычек, приводящих к раннему старению
- Врач Тарасов: стресс увеличивает риск развития болезней сердца у женщин
- Стоматолог Давидян: элайнеры могут исправить любые нарушения прикуса
- У британки, которую внезапно парализовало, нашли болезнь Адисона
- Диетолог Мещерякова: одна порция еды в жару должна составлять 300-400 г