Врач Серебрякова: одышка в покое может указывать на пневмонию

Доктор Оксана Серебрякова перечислила россиянам наиболее опасные симптомы, появляющиеся в холодное время года, которые нельзя игнорировать, пишет «Чемпионат».
Как утверждает терапевт, зимой защитные свойства организма ослабевают. В это время года риск простуды, гриппа, пневмонии и даже нарушений периферического кровообращения значительно выше.
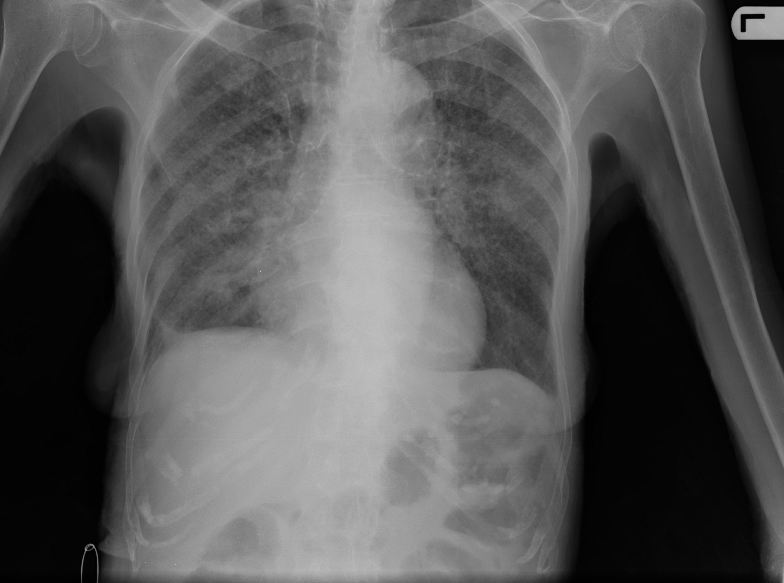
Обратиться к врачу нужно как можно быстрее, если у человека появилась одышка в состоянии покоя, боль в груди, синюшность губ, кашель с примесью крови. Симптомы могут указывать на пневмонию, ХОБЛ или тромбоэмболию легочной артерии. Без помощи специалиста проблему не решить.
Фото: Miliary tuberculosis, Yale Rosen from USA, Creative Commons Attribution-Share Alike 2.0 Generic license.
В ЭТОМ РАЗДЕЛЕ
- Врач-невролог назвала самые опасные продукты для гипертоников.
- Чеснок: почему он необходим человеку?
- Диетолог Кабанов рассказал о правилах в Новый год для здоровья пищеварения
- Врач Сейц рассказал, что зеленый чай укрепляет здоровье мозга
- Гастроэнтеролог Екатерина Мельникова рассказала о способах борьбы с бессоницей
- Диетолог Марина Сорокина: 2 литра воды в день это миф
- Кардиолог Павличенко рассказала о здоровых заменах сахара
- Врач-офтальмолог Меркулова поделилась продуктами для здоровья глаз
Не забудьте подписаться на наш Дзен-канал!
Также наши новости в оперативном режиме в телеграм-канале.