Врач Гулакова: кальян вызывает рак мочевого пузыря

Доктор Анна Гулакова предупредила россиян о вреде курения кальяна, пишет NEWS.ru. В организм поступает в 9 раз больше угарного газа, чем при курении сигареты.
Со слов оториноларинголог, пассивное вдыхание кальянного дыма также вредит здоровью. Считается, что токсичные смолы и дым в кальяне фильтруются через воду, но это не так. За одну затяжку кальяном вдыхается в 1,7 раза больше никотина, чем при выкуривании одной сигареты.
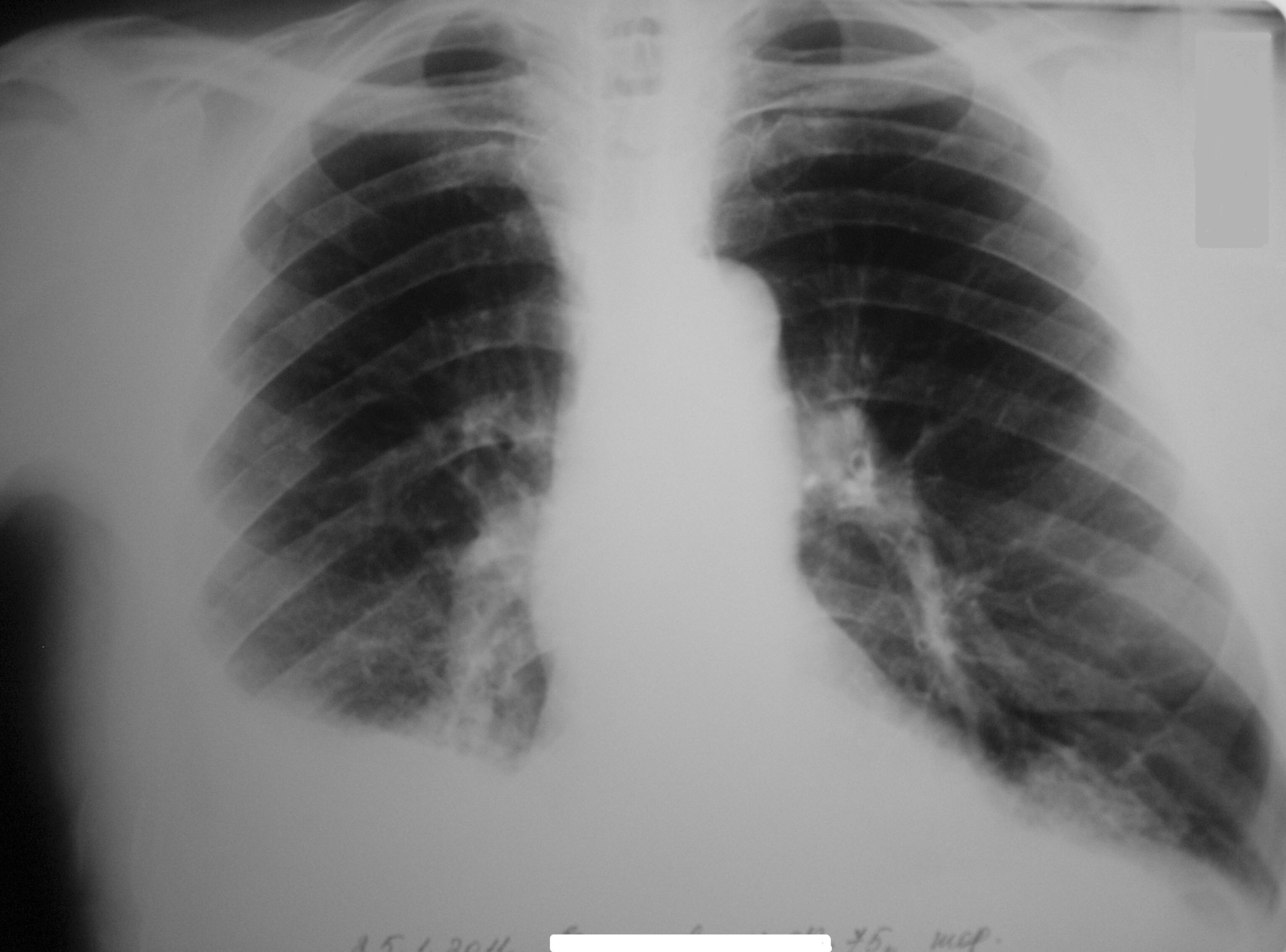
Курение кальяна повышает риск развития рака легких, полости рта, гортани и мочевого пузыря. Кроме этого, вредная привычка угрожает здоровью сердечно-сосудистой системы. Курение кальяна несколькими людьми грозит туберкулезом и другими инфекциями.
Фото: commons.wikimedia.org, Клеткин Максим Евгеньевич, Creative Commons CC0 1.0 Universal Public Domain Dedication.
- Врач-невролог назвала самые опасные продукты для гипертоников.
- Чеснок: почему он необходим человеку?
- Диетолог Кабанов рассказал о правилах в Новый год для здоровья пищеварения
- Врач Сейц рассказал, что зеленый чай укрепляет здоровье мозга
- Гастроэнтеролог Екатерина Мельникова рассказала о способах борьбы с бессоницей
- Диетолог Марина Сорокина: 2 литра воды в день это миф
- Кардиолог Павличенко рассказала о здоровых заменах сахара
- Врач-офтальмолог Меркулова поделилась продуктами для здоровья глаз
Не забудьте подписаться на наш Дзен-канал!
Также наши новости в оперативном режиме в телеграм-канале.