Онколог Нефедов: рак легких поражает курящих женщин

Доктор Андрей Нефедов напомнил, что курение хуже влияет на здоровье женщин, чем на мужское самочувствие, пишет «Газета.ру».
Статистика показывает, что риск развития рака легких у курящих женщин почти в два раза выше, чем у мужчин из-за низкой эффективности восстановления ДНК. На женский организм действие канцерогенов из сигарет более вредное.
Курение повышает вероятность развития интерстициальных заболеваний легких и обструктивной болезни легких. Со слов онколога, риск рака легких также увеличивается на фоне поражения интерстиций и туберкулеза.
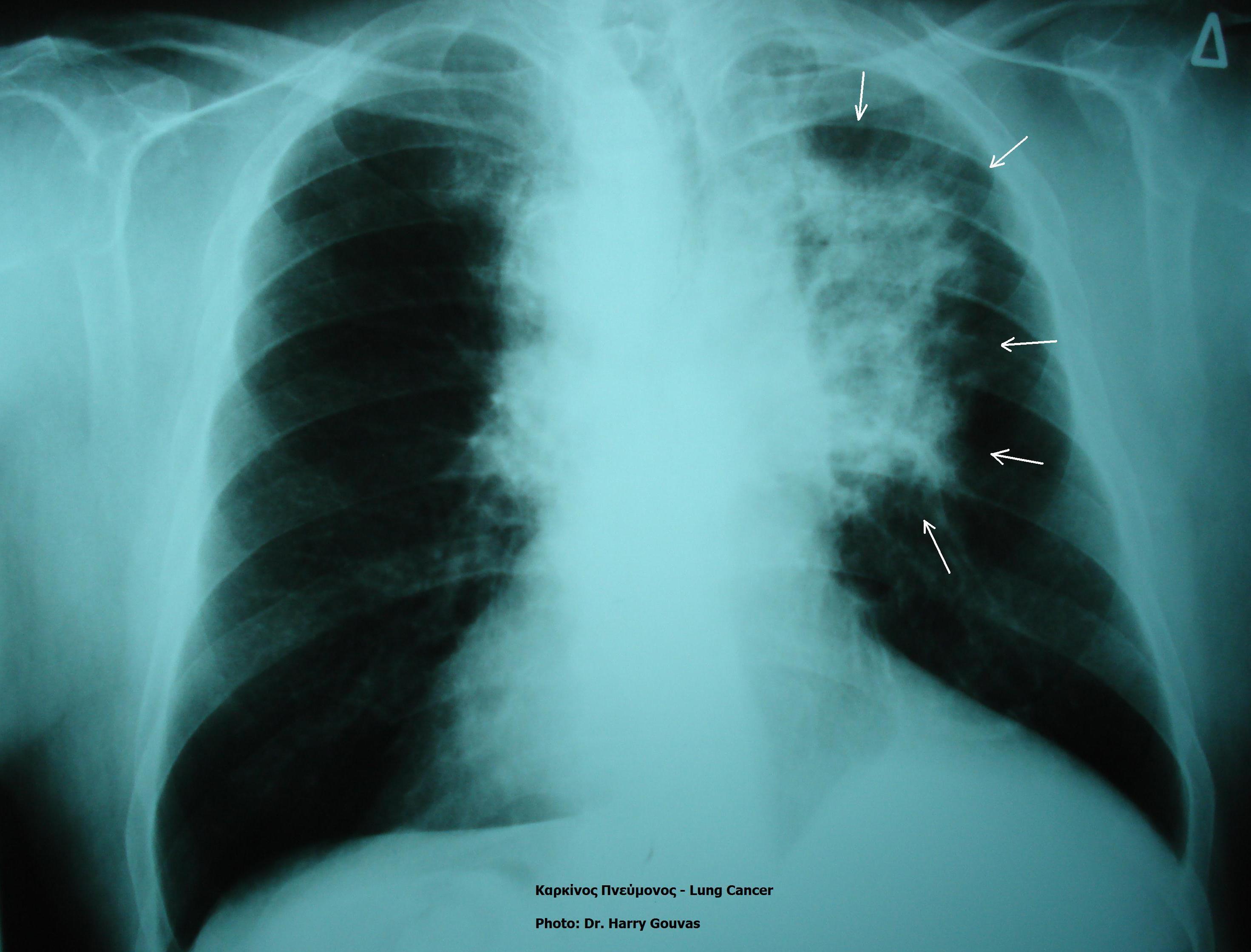
Фото: Φωτογραφικό αρχείο Δρ. Χαράλαμπος Γκούβας, Δρ. Χαράλαμπος Γκούβας (Harrygouvas), Creative Commons Attribution-Share Alike 3.0 Unported license.
В ЭТОМ РАЗДЕЛЕ
- Врач-невролог назвала самые опасные продукты для гипертоников.
- Чеснок: почему он необходим человеку?
- Диетолог Кабанов рассказал о правилах в Новый год для здоровья пищеварения
- Врач Сейц рассказал, что зеленый чай укрепляет здоровье мозга
- Гастроэнтеролог Екатерина Мельникова рассказала о способах борьбы с бессоницей
- Диетолог Марина Сорокина: 2 литра воды в день это миф
- Кардиолог Павличенко рассказала о здоровых заменах сахара
- Врач-офтальмолог Меркулова поделилась продуктами для здоровья глаз
Психолог Шпагина: буферный день после каникул снизит стресс
Здоровье
Здоровье
Доктор Елена Шпагина рассказала, как можно вернуться к рабочему режиму после новогодних праздников без стресса, пишет «Газета.ру».
Врач Мамина: овощи и зелень восстановят печень после праздников
Здоровье
Здоровье
Доктор Арина Мамина проинформировала россиянам, как можно без стресса восстановить печень после долгих новогодних праздников, пишет UfaTime.
Не забудьте подписаться на наш Дзен-канал!
Также наши новости в оперативном режиме в телеграм-канале.