Врач Попова: высокий инсулин снижает половое влечение у мужчин
Здоровье

Доктор Наталья Попова раскрыла негативное влияние на половую жизнь мужчин высокого уровня инсулина в крови, пишет NEWS.ru.
Диетолог Кабанов: пальмовое масло безвредно
Здоровье

Доктор Алексей Кабанов опроверг распространенное мнение о вреде употребления пальмового масла, пишет NEWS.ru.
Популярное
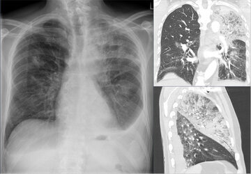
Врач Демьяновская: туберкулез вызывает потливость по ночам
Здоровье

Доктор Екатерина Демьяновская перечислила симптомы, при которых можно заподозрить туберкулез еще до флюорографии, пишет Life.ru.
Кардиолог Соколов: сердечная недостаточность вызывает кашель
Здоровье

Доктор Денис Соколов перечислил симптомы сердечно-сосудистых патологий, которые могут обостриться в осенний период, пишет РИАМО.
Что новенького?
- Назван мощный антиоксидант: Профилактика в лечении хронических заболеваний
- Фудшеринг: Развивающееся движение в Новосибирске, способное помочь в трудные времена
- Какие продукты вызывают пищевую зависимость: Рассказала Елена Соломатина
- Безопасность находится под угрозой: Специалисты провели исследование
- Лучший чай: Исследования Роскачества
- Обувь, которая не загубит ваши ноги
- Ученые: мозг и желудок - одно целое
Врач Турская: симптомы гепатита C легко списать на усталость
Здоровье

Доктор Наталья Турская раскрыла опасность гепатита С. Дело в том, что вирус может длительное время никак себя не проявлять, пишет NEWS.ru.
Офтальмолог Кошевая: тыква улучшает зрение
Здоровье

Доктор Ольга Кошевая составила россиянам список самых полезных для зрения продуктов, пишет UfaTime.