Кардиолог Рахматуллина: оценить состояние легких поможет метод секундомера
Здоровье
Здоровье
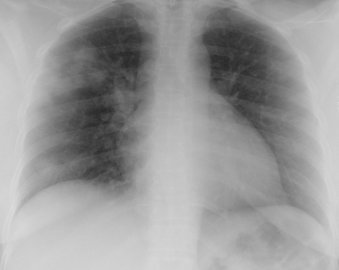
Врач Альбина Рахматуллина рассказала изданию «Газета.ру», как в домашних условиях человек может самостоятельно проверить состояние своих легких
Онколог Пащенко перечислила симптомы рака желудка: кислая отрыжка
Здоровье
Здоровье
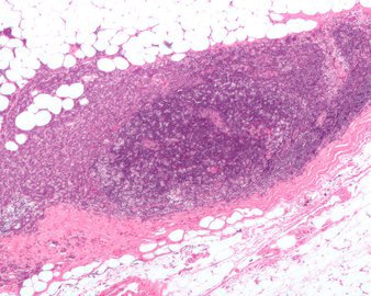
Кандидат медицинских наук Наталья Пащенко рассказала изданию «Газета.ру», когда человек может заподозрить наличие рака желудка, чтобы незамедлительно обратиться к врачу и проверить себя.
- 30-летняя спортсменка Холли Шойер рассказала о неочевидном симптоме рака
- Нутрициолог Габдулхакова: после 40 лет нужно отказаться от спиртного
- Биотехнолог Куликов перечислил полезные свойства чили для здоровья
- Профессор Москалев: отказ от гаджетов улучшает работу мозга и снижает стресс
- Диетолог Соломатина раскрыла пользу козьего молока
- Гастроэнтеролог Васильева: поджелудочная страдает от трансжиров и алкоголя
- Невролог Керекеша рассказал о пользе гвоздестояния
- Врач Тяжельников: польза меда теряется при нагреве более 40 градусов
- Гастроэнтеролог Пустовит перечислила лекарства, вызывающие поражение печени
- Врач Мясников: консервированный горошек опасен ботулизмом
Психологи выявили связь между употреблением кофе и импульсивными покупками
Здоровье
Здоровье
Специалисты Британского психологического общества в ходе недавнего исследования сообщили в социальных сетях о связи между употреблением кофе и импульсивными покупками, сообщает издание Daily Mirror.
Невролог Неврюзина: фастфуд, колбасы и сосиски могут спровоцировать мигрень
Здоровье
Здоровье
Доктор Галина Неврюзина рассказала изданию «РИАМО», какие существуют факторы, провоцирующие мигрень, от которой страдают 6 процентов мужчин и 18% женщин.
Кардиолог Лобова: скрещивание ног увиливает риск тромбов
Здоровье
Здоровье
Доктор Мария Лобова сообщила изданию NEWS.ru о плохих привычках россиян, которые могут привести к образованию тромбов. Речь идет от сидения на стуле или диване, сложив ногу за ногу.
Терапевт Шмелева призвала стирать одежду больного ОРВИ при 60 градусах
Здоровье
Здоровье
Доктор Яна Шмелева рассказала изданию NEWS.ru о правилах стирки одежды и постельного белья после того, как человек переболел ОРВИ.
- 75-летняя американка избавилась от болезней благодаря пилону
- Эксперт Джозеф: авокадо и сухофрукты могут привести к набору веса
- Невролог Демьяновская: гипертония может маскироваться
- Гастроэнтеролог Богомолова: омега-3 защищают сосуды от болезней
- Косметолог Носарева перечислила способы справиться с отеками по утрам
- Иммунолог Радчик перечислила причины пищевой аллергии
- Кардиолог Бокерия: правильный завтрак защищает от рака и продлевает жизнь
- Косметолог Байрамова: витамина C больше всего содержится во фруктах
- Диетолог Сауттер: груши помогают снизить риск развития рака
- Врач Малышева: солнцезащитный крем нужно обновлять каждые 2 часа