Врач Мясников: грипп повышает риск пневмонии

Доктор Александр Мясников в программе «О самом главном» раскрыл россиянам самое опасное осложнение гриппа, пишет «АИФ».
Со слов медика, вакцинация от гриппа защищает не только от самого вируса, но и от осложнений. Врач Ольга Афанасьева напомнила, что существует также парагрипп. Ежегодно от гриппа погибают тысячи людей.
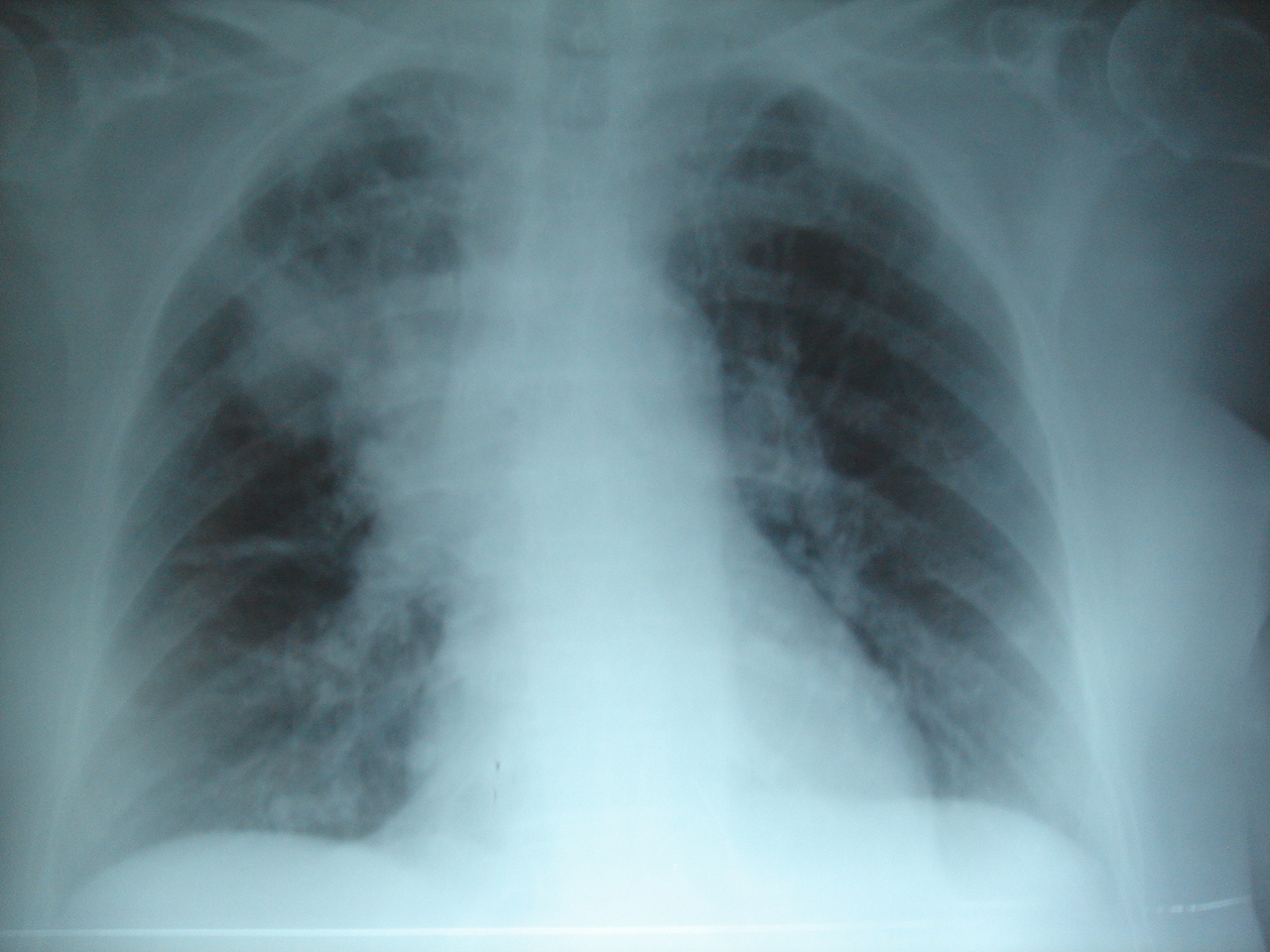
Чаще всего грипп приводит к геморрагической пневмонии, инфаркту и миокардиту. При диабете грипп может довести до комы. В группе риска дети, пожилые граждане, пациенты с ожирением, беременные, а также люди с хроническими патологиями.
Фото: No machine-readable source provided. Own work assumed (based on copyright claims), No machine-readable author provided. Joseaperez assumed (based on copyright claims), Creative Commons Attribution-Share Alike 3.0 Unported license.
- Врач-невролог назвала самые опасные продукты для гипертоников.
- Чеснок: почему он необходим человеку?
- Диетолог Кабанов рассказал о правилах в Новый год для здоровья пищеварения
- Врач Сейц рассказал, что зеленый чай укрепляет здоровье мозга
- Гастроэнтеролог Екатерина Мельникова рассказала о способах борьбы с бессоницей
- Диетолог Марина Сорокина: 2 литра воды в день это миф
- Кардиолог Павличенко рассказала о здоровых заменах сахара
- Врач-офтальмолог Меркулова поделилась продуктами для здоровья глаз
Не забудьте подписаться на наш Дзен-канал!
Также наши новости в оперативном режиме в телеграм-канале.